Fimke
Op 20 februari 2017 is Fimkje geboren, de 5e pup uit Baukje haar 2e nestje. Foto's uit haar nestperiode zijn te zien bij het F-nest. Vier generaties Stabij's, Anke vindt het leuk om met haar achterkleindochter te spelen. In de tuin houdt mama Baukje goed in de gaten of haar pup geen gevaar loopt.



Fimke mag mee op verjaardags-visite, dat is heeeel vermoeiend.


Eelke doet mee met de Elfstedenwandeltocht, we brengen hem bij de start en halen hem op in de volgende stad, Fimke went aan de auto.


Op cursus doet Fimke het zo goed dat ze al na 4 lessen mee mag doen met het puppy-examen. Op zaterdag 13 mei haalt ze haar 1e diploma.



5 maanden, 13.4 kilo en een ontzettend slim en eigenwijs hondje. Fimke mag wat vaker mee met de hele roedel. Ze ontpopt zich als een echte waterrat, apporteren moet nog leren, ze vindt het leuker om achter de anderen aan te zwemmen. Graven doet ze ook heel graag.



In de zomer gebeuren er 2 vervelende dingen: op de hondenschool struikelt de instructeur over zijn eigen voeten en valt over Fimke heen. En terwijl we in een park lopen waar aanlijnplicht geldt wordt ze nogal wild besprongen door 4 loslopende, grote honden. Fimke probeert ze keurig met kalmeringssignalen te laten weten dat het haar teveel is, maar de honden walsen er dwars overheen, de eigenaren zijn veel te ver weg om hun honden tot de orde te roepen en het lukt mij ook niet om ze alle 4 bij haar weg te krijgen.... Dus rest haar geen andere uitweg dan van haar af te snauwen... Zo jammer, onuitwisbare ervaringen voor Fimke die op dat moment net in een puber/angstfase zit. Tot op de dag van vandaag vindt ze het vervelend als mensen onverwacht naar haar toe buigen en ze heeft een hekel aan drukke honden....

In september hebben we een workshop ‘body-awareness’ gedaan bij Kynospirit en was de Jubileumdag van de NVSW met weerzien van papa Kaije en broer Fynn. Ook hier leuke workshops zoals onder andere een kennismaking met de basisbeginselen van jachttraining.






De opvoeding en socialisatie gaan door, Fimke maakt kennis met de Kerstman en op de Winner in Amsterdam volgen we een workshop Hersenwerk voor Honden. In januari 2018 starten we bij Focus & Training in Leeuwarden met de cursus Jonge Hond 1, gevolgd door Jonge Hond 2.


Volledige focus van Fimke


In februari zijn we een midweek op Terschelling, we treffen heerlijk zonnig vriesweer en genieten in het bos en op het strand


Verrassing met de post: een leuk verjaardagscadeautje van broertje Toby voor haar eerste verjaardag



Fimke mag af en toe mee naar Behendigheid, de wip is spannend, de andere toestellen vooral leuk.


Het is deze zomer vaak te warm om op pad te gaan, gelukkig is er genoeg schaduw in de tuin, we luieren en doen hersenspelletjes met water

10 augustus gaan we samen naar de WDS Specialty in Amsterdam Fimke haalt bij meneer Arxhoek een Uitmuntende Jeugd CAC





Wat gaat er allemaal in dat koppie om, onze lieve knuffel lebberdoos, zodra ze andere mensen vertrouwt zit ze er in no-time bij op schoot



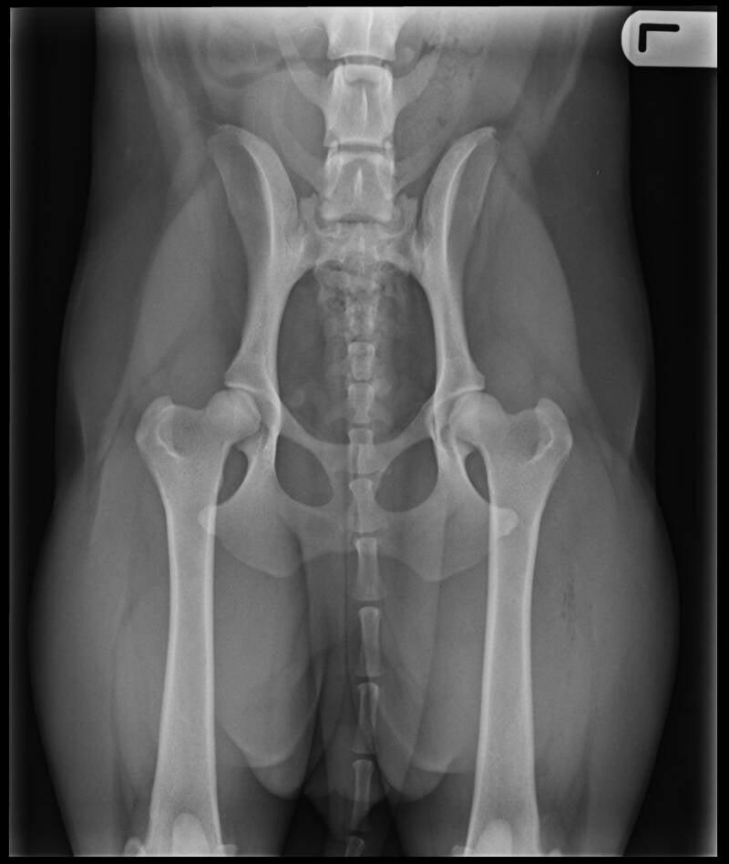
In het najaar starten we met Detectie, Fimke speurt op wiet en we beleven hier veel plezier aan. Voorjaar 2019 de uitslag van de heupfoto's is binnen: HD A, Norbergwaarde 30, geen botafwijkingen. Fimke vangt haar 1e mol, en de 2e en de 3e.........een echte Stabij.



In 2020 overlijdt stammoeder Anke, Fimke was 8 poten op 1 buik met haar, de roedel moet zich wat hervinden. Vanwege corona zijn er weinig officiële activiteiten, we wandelen op rustige plekken en vermaken ons in huis en tuin met body-awareness oefeningen, hersenwerk.

Sonja maakt de prachtigste foto's van Fimke





2021 we doen de cursus Life Skills bij Lucky Pink Paws, een leuk concept: het zelfvertrouwen verbeteren d.m.v. optimisme en spelletjes







Aansluitend volgen we online de "I'm Sexier then a Squirrel" cursus
Fimke heeft verkering met Sam, half juni wordt ze loops, eind juni 2021 is ze gedekt, 30 augustus zijn de pups geboren, kijk bij het G-nest

4 november 2022, Sneupen bij Willem : Fimke mag nog een rondje door de tuin om te checken of Baukje geen brokjes overgeslagen heeft. Fimke wordt ontzettend gelukkig van vrij rond kunnen lopen, onderzoeken en snuffelen, volgende keer maar een sessie voor haar boeken.


11 april 2023 met Fimke naar Zima Homeopathie in Nieuwlande geweest, er is beslist vooruitgang te zien. We gaan rustig door met de voorgeschreven supplementen. Na afloop nog een wandeling gemaakt in het naastgelegen bos en is Fimke ondergedoken 😉




Sneupen bij Willem is populair, we hebben in maart al gereserveerd, 26 juni 2023 is het zover. Fimke dacht dat we body-awareness gingen doen, ik moest echt even vertellen dat ze op 'e strûn mocht.




Het fonteintje in de vijver was best spannend, daar kwam zomaar water uit zodra de zon ging schijnen maar ze onderzocht het dapper.






Na een poosje zag je aan de oogjes dat Fimke moe werd en was het tijd om naar huis te gaan.



Fimke heeft bij iedere loopsheid last van PMS en schijndracht. We hebben eerst geprobeerd of het met medicatie viel op te lossen, maar het lijkt bij iedere cyclus erger te worden. Daarom hebben we de knoop doorgehakt: er komen geen nestjes meer.
30 november 2023: Fimke is vandaag gecastreerd. Ze wilde na de operatie geen stap verzetten en ging er bij de dierenarts maar weer bij liggen. Inmiddels weer veilig thuis ligt ze droopy van de narcose en de pijnstillers diep in dromenland.



10 januari 2024 Sinds dit weekend merken we dat Fimke weer beter in haar vel begint te zitten, de 2 hechtingen zijn weg en ze daagt moeder en oma weer uit om te spelen. Vandaag zijn we naar de osteopaat geweest voor het laatste zetje naar volledig herstel. Het is zo fijn dat Fimke de behandeling van Jannemarie volledig toelaat, ze heeft de blokkades die o.a. in het middenrif zaten helemaal weg kunnen krijgen.
Ook in Zwiggelte moest de tuin wel goed in de gaten gehouden worden , eenmaal weer thuis was Fimke al snel in dromenland






voorjaar 2024: graven naar muizen, blijer kun je Fimke niet maken

21 juni 2024: in Rottevalle op 'e Sneup geweest by Mem, zo fijn om te zien dat Fimke vrij en blij op onderzoek uit ging, zie ook filmpje





Sinds eind april zijn we weer op cursus bij Ester van Focus&Training, Leeuwarden, een groepje van slechts 2 honden, het voelt als privéles. We leren ademen op commando en oefenen met het ontspannen dealen met prikkels. Ook trainen we het ondergaan van dierenarts en/of verzorgende handelingen zoals kammen of nagels knippen. Fimke pakt alles heel goed op en thuis oefenen we het geleerde met Baukje.


4 september was de laatste les, het is zo fijn om Fimke zo ontspannen te zien liggen met een grote glimlach. We hebben een heleboel handvaten gekregen en trucs geleerd om voortaan in de praktijk te kunnen brengen


Superbowls is een Super oefening

Fimke op haar best, op de uitkijk in de achtertuin

25 september zijn we weer wezen sneupen bij Mem. Fimke herkende Neeltje en de tuin en ging gelijk op onderzoek uit. Stemmen op het naastgelegen kerkhof en lama's van de buren gaven wat onrust, met snuffelen was ze wel af te leiden. Na afloop zag je een tevreden bekkie.



Februari 2025 het heeft een beetje gesneeuwd, hoera : sneeuwpret.
Op Fimke haar 8e verjaardag zijn we naar de Wellerwaard geweest, dat is haar favoriete wandelgebied, ze heeft zich daar prima vermaakt!

Sinds de ongelukkige ontmoeting met een wildrooster in het najaar van 2024 heeft Fimke regelmatig last van haar rug en gaan we elk kwartaal naar Zwiggelte voor een osteopathie behandeling. Begin juli was het zo erg dat ze bijna niet overeind kon komen. Met rust en 3x daags een Traumeel tabletje knapte het wel iets op. 14 juli konden we tussendoor terecht, het was 'slechts' een flinke spierverrekking. Jannemarie heeft een extra zetje naar herstel kunnen geven, Fimke beweegt gelukkig weer stukken makkelijker maar de rug zal kwetsbaar blijven.


2025 augustus Fimke in haar element gravend naar muizen en samen naar het bos en de hei bij Beetsterzwaag geweest




Maak jouw eigen website met JouwWeb